דף הבית » מידע מקצועי » מהו שיקום הפה ומה מייחד אותו מרפואת שיניים רגילה
מהו שיקום הפה ומה מייחד אותו מרפואת שיניים רגילה
שיקום הפה הוא תחום ברפואת השיניים המתמקד בטיפול כולל במערכת הלעיסה – השיניים, החניכיים, העצם התומכת, מפרקי הלסת והאסתטיקה של החיוך – כמערך אחד משולב
שיקום פה איכותי אינו עוסק רק ב“סידור שיניים”. הוא תלוי בהבנה מעמיקה של ביומכניקה, פתולוגיות של העצם והחניכיים, יחסי לסתות, עומסי לעיסה, דפוסי שחיקה והרגלים כמו הידוק שיניים או לעיסה חד-צדדית. האתגר הרפואי הוא לבנות מערכת מאוזנת שתוכל לעמוד בעומסים לאורך שנים, תוך שמירה על רקמות בריאות ועל מראה טבעי והרמוני.
מי הם המטופלים הזקוקים לשיקום פה מקיף
מטופלים המופנים או פונים לשיקום פה הם בדרך כלל כאלה שחשים כי “הכול כבר יצא משליטה” באזור הפה. אלו אנשים שחוו אובדן שיניים משמעותי, שהשיניים שלהם שחוקות בצורה קיצונית, שהכתרים הישנים נשברים שוב ושוב, או שמצב החניכיים אצלם הידרדר עד כדי חוסר יציבות של השיניים הקיימות.
אבחון שיקומי: הבסיס לכל החלטה טיפולית
אבחון מדויק הוא אבן היסוד של כל תהליך שיקום פה. ללא אבחון מעמיק, הסיכוי לכישלון או לחזרת בעיות בטווח הבינוני והארוך עולה משמעותית. אבחון שיקומי כולל שילוב של בדיקה קלינית, הדמיה, ניתוח תפקודי והבנת הרקע הרפואי וההתנהגותי של המטופל.
בבדיקה הקלינית נבחנת בריאות החניכיים, עומק הכיסים, יציבות השיניים, נוכחות דלקות או זיהומים, מצב הרקמות הרכות, תבנית הסגר, טווחי פתיחה וסגירה של הלסת ותפקוד מפרקי הלסת.
ההדמיה משלבת בדרך כלל צילומי רנטגן דיגיטליים, הדמיות פנורמיות ולעיתים גם צילומי CT של הלסתות לצורך הערכת איכות וכמות העצם. הדמיה זו מאפשרת לזהות אזורי ספיגת עצם, מיקום מדויק של מבנים אנטומיים רגישים, זיהוי שורשים בלתי תקינים או זיהומים עמוקים, ותכנון עתידי של שתלים דנטליים במידת הצורך.
כחלק מהאבחון חשוב להבין גם את הרקע הרפואי הכללי: מחלות מערכתיות כמו סוכרת לא מאוזנת, אוסטאופורוזיס, שימוש בתרופות מסוימות או עישון כבד, כל אלו משפיעים על בחירת תכנית הטיפול, על קצב ההחלמה ועל הסיכון לסיבוכים. בנוסף, נלקח בחשבון גם ההיבט ההתנהגותי: חרדה דנטלית, ציפיות המטופל מהתוצאה הסופית, יכולת ההיענות להנחיות ויכולת לשמור על היגיינה אוראלית טובה.
תכנון שיקומי: בניית מפת דרכים מדויקת
לאחר השלמת האבחון, מתבצע שלב התכנון. תכנון שיקומי איכותי הוא תהליך מובנה שבו מגדירים מטרות טיפוליות, בוחרים את הכלים המקצועיים להשגתן, ומתאימים את רצף הצעדים לנתונים האישיים של המטופל. זהו שלב אינטלקטואלי בעיקרו, שבו משקללים את כל הנתונים ומתרגמים אותם לתכנית עבודה ברורה.
ההחלטות בשלב זה כוללות בין היתר אילו שיניים ניתן לשמר, אילו שיניים יש לעקור, היכן יש צורך בשתלים, איזה סוג שיקום יונח על השתלים, האם יש צורך בבניית עצם או בעיבוי רקמות רכות, והאם נדרש טיפול חניכיים מקדים. מגדירים את הסגר הרצוי, את אורך השיניים, את קווי החיוך ואת תמיכת השפתיים, כך שהתוצאה תהיה גם פונקציונלית וגם אסתטית.
במרפאות המתמחות בשיקום פה, כמו זו של ד"ר מיכאל רייר, שלב התכנון נעשה לרוב תוך שיתוף פעולה בין תחומי: שיקום, כירורגיה, פריודונטיה ולעיתים גם אורתודונטיה. כל תחום תורם זווית ראייה נוספת, והסינתזה ביניהם מאפשרת גיבוש תכנית טיפול אחראית יותר ומדויקת יותר. מטופל מקבל לעיתים הצגת חלופות, עם הסבר על היתרונות והחסרונות של כל אחת, ושותף לקבלת ההחלטה.
שתלים, כתרים ושחזורים: אבני יסוד בשיקום המודרני
אחד הכלים המרכזיים בשיקום פה מודרני הוא שתל דנטלי. שתל הוא בורג טיטניום המשמש כתחליף לשורש השן שנעקרה או חסרה. כאשר יש אובדן של שן אחת או יותר, השתל מאפשר לבנות שיקום קבוע – כתר, גשר או מערכת שיקום מלאה על גבי שתלים – שמחזירה למטופל תחושה של שן יציבה עם תפקוד קרוב ככל האפשר לטבעי.
בחירת מספר השתלים, מיקומם המדויק והסוג השיקומי שיונח על גביהם, היא חלק קריטי בתכנון. אין “מספר קסם” אחיד של שתלים לכל לסת. נלקחים בחשבון כוחות הלעיסה, איכות העצם, צורת הלסת וצרכים אסתטיים. במקרים מסוימים יבחר שיקום מלא על גבי מספר שתלים מועט יחסית, ובאחרים יהיה צורך במספר שתלים גדול יותר לשמירה על פיזור עומסים אופטימלי.
הכתרים והשחזורים עצמם מיוצרים כיום מחומרים מתקדמים בעלי תכונות אסתטיות ומכניות גבוהות. בחירה בין חרסינה מלאה, זירקוניה או שילובים שונים נעשית בהתאם למיקום השן בפה, לדרישות האסתטיות של המטופל ולתפקוד הצפוי. באזור קדמי, חשיבות המראה גבוהה במיוחד, ולכן מושם דגש על שקיפות, גוון ואינטגרציה עם הרקמות הרכות. באזור אחורי, לעומס ולעמידות חומר השיקום יש משקל רב.
הנחת שיקום קבוע על גבי שתלים מחייבת התאמה מדויקת לסגר הקיים או המתוכנן. שיקום שאינו מאוזן היטב עלול ליצור עומס יתר על שתלים מסוימים, לגרום לשבירות חוזרות של חרסינה, לכאבים או לתחושת חוסר נוחות. לכן, בשיקום פה מקצועי, חלק משמעותי מהזמן מושקע בכיוונון הסגר ובדיקת האיזון תחת לעיסה בפועל.
בריאות החניכיים כרכיב מפתח בשיקום ארוך טווח
כל שיקום, מורכב ככל שיהיה, נשען על בריאות הרקמות התומכות. חניכיים דלקתיות, כיסים עמוקים, נסיגת עצם פעילה ומחלות פריודונטליות שאינן מטופלות, עלולים לפגוע ביכולת לשמר שיניים קיימות וביכולת לקלוט שתלים בצורה יציבה. לכן, לפני ובמהלך תהליך שיקום הפה, נדרשת התייחסות יסודית למצב החניכיים.
טיפול פריודונטלי יכול לכלול ניקוי עמוק, הקצעת שורשים, טיפול תרופתי ולעיתים גם התערבויות כירורגיות לשיקום עצם. לאחר ייצוב מצב החניכיים, ניתן להתקדם בבטחה לשיקום מורכב יותר. גם לאחר סיום השיקום, בריאות החניכיים ממשיכה להיות משתנה קריטי בשימור התוצאה. הקפדה על ביקורות סדירות וניקוי מקצועי במרפאה היא חלק בלתי נפרד מהצלחת השיקום לאורך שנים.
היבטים אסתטיים בשיקום הפה: לא רק חיוך “יפה”
אסתטיקה בשיקום פה אינה מסתכמת בגוון השן. היא מושפעת מתמיכת השפתיים, קווי המעבר בין השן לחניכיים, האיזון בין הלסת העליונה לתחתונה, היחס בין אורך ורוחב השן, קו החיוך בקשר לפנים ועוד. זוהי אסתטיקה פונקציונלית, כזו שמבוססת על פרופורציות אנטומיות נכונות ועל התאמה לפנים הספציפיות של המטופל.
בעת תכנון שיקום אסתטי, נעשה בדרך כלל שימוש בתמונות, מודלים ולעיתים גם באמצעים דיגיטליים המאפשרים הדמיה מוקדמת של תוצאת החיוך. הדמיה זו מסייעת גם לרופא וגם למטופל להבין את כיוון התוצאה, לכוון ציפיות, ולבצע התאמות לפני הייצור הסופי של הכתרים והשחזורים. היא גם מאפשרת לשלב שיקולים של גיל, מין וסגנון חיים בבחירת המראה הסופי.
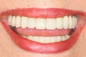
אחת המטרות המרכזיות היא להגיע למראה שאינו “מלאכותי”. שיקום טוב אינו בולט לעין כאוסף של כתרים, אלא משתלב באופן טבעי במראה הפנים. זהו שילוב של תכנון נכון, חומרים איכותיים ועבודה מדויקת עם טכנאי שיניים מיומן. מרפאה העוסקת באופן קבוע בשיקום פה, כמו המרפאה של ד"ר מיכאל רייר, רגילה לעבודה עדינה זו ולהתאמות החוזרות הנדרשות עד להשגת תוצאה אסתטית מספקת.
מה מרגיש המטופל לאחר שיקום פה מוצלח
כאשר תהליך שיקום הפה מסתיים בהצלחה, המטופל אינו חווה רק שינוי חיצוני, אלא שינוי תפקודי וחווייתי. יכולת הלעיסה חוזרת להיות יעילה, האכילה נעשית בטוחה ונוחה, הכאבים הכרוניים נעלמים או פוחתים בצורה משמעותית, והדיבור נעשה ברור יותר
שיקום פה מוצלח מעניק תחושת יציבות. במקום רצף של טיפולים זמניים ותיקונים חוזרים, נוצר מצב שבו הפה נמצא באיזון – מבחינת תפקוד, אסתטיקה ובריאות.
חשוב להבין שגם לאחר סיום השיקום, ישנה תקופת הסתגלות. המטופל לומד מחדש את תחושת הלעיסה, מתרגל לנפח חדש בפה, ולעיתים גם משנה הרגלי אכילה. ליווי נכון בשלב זה, עם זמינות מקצועית למענה על שאלות והתאמות לפי הצורך, תורם להצלחת הקליטה של השיקום.
הליווי המקצועי והמעקב לאחר סיום הטיפול
שיקום הפה אינו “פרויקט חד פעמי” שנגמר ביום התקנת השיקום הסופי. כדי לשמר את התוצאה לאורך שנים, נחוץ מעקב מקצועי קבוע. במרפאה המתמחה בשיקום פה מקובל לבנות למטופל תכנית תחזוקה הכוללת ביקורות תקופתיות, בדיקת יציבות השיקום, הערכת מצב החניכיים וניקוי מקצועי.
חלק אינטגרלי מהתחזוקה הוא חיזוק השיניים ורקמות האמייל. טיפולי פלואוריד וחיזוק אמייל לאחר שיקום נרחב יכולים לסייע בהפחתת רגישות, לשפר את עמידות פני השן ולהפחית את הסיכון לעששת משנית ולשחיקה. זהו שלב משלים חשוב, במיוחד אצל מטופלים שעברו שיקום גדול הכולל כתרים מרובים, שתלים או שילוב של פתרונות.
שיקום הפה במרפאת דנטל ארט קליניק
במרפאתו של ד"ר מיכאל רייר, שיקום הפה נתפס כתהליך רפואי כולל ולא כטיפול נקודתי. הדגש הוא על אבחון מדויק, תכנון מערכתי, שימוש בטכנולוגיות עדכניות וניסיון קליני רחב לאורך שנים. כל מקרה נבחן לגופו, תכנית הטיפול מותאמת לפרופיל הרפואי והאישי של המטופל, ושיקולי התפקוד, האסתטיקה והתחזוקה משוקללים יחד.
סיכום: שיקום הפה כתהליך רפואי ארוך טווח
שיקום הפה הוא אחד האתגרים המורכבים ביותר ברפואת השיניים, אך גם אחד התחומים המאפשרים שינוי עמוק ומשמעותי באיכות החיים.
כאשר השיקום מבוצע בגישה מקצועית ואחראית, תוך הבנת ההיבטים התפקודיים, האסתטיים והרגשיים, התוצאה אינה רק חיוך יפה אלא מערכת לעיסה יציבה ובריאה, המסוגלת לשרת את המטופל במשך שנים רבות. בעידן שבו רפואת השיניים מתקדמת ללא הרף, שיקום פה איכותי משלב בין הידע המדעי, היכולת הטכנית והרגישות האנושית – ומאפשר למטופלים להתחיל מחדש עם פה מתפקד, בריא ואסתטי.
שאלות ותשובות – שיקום הפה
1. מה ההבדל בין טיפול רגיל לשיקום הפה?
טיפול רגיל מתמקד בשן בודדת או בבעיה נקודתית, בעוד שיקום הפה מתייחס למערכת הלעיסה כולה – שיניים, חניכיים, לסתות וסגר – ומתכנן טיפול כולל שמטרתו לייצב את הפה ולהחזיר לו תפקוד תקין.
2. מתי יש צורך בשיקום פה ולא בטיפול נקודתי?
כן, אך תכנית הטיפול מותאמת למצב הבריאותי הכללי, לתנאי העצם והחניכיים ולצרכים האינדיבידואליים של המטופל. לעיתים נדרשת הכנה רפואית לפני תחילת השיקום.
3. איך מתבצע האבחון לפני שיקום הפה?
האבחון כולל בדיקה קלינית, הדמיות מתקדמות, בדיקת סגר, מצב החניכיים, איכות העצם ותפקוד מפרקי הלסת, וכן הערכה של מצב רפואי כללי והרגלים המשפיעים על הצלחת הטיפול.
4. האם כל אחד מועמד לשיקום פה?
האבחון כולל בדיקה קלינית, הדמיות מתקדמות, בדיקת סגר, מצב החניכיים, איכות העצם ותפקוד מפרקי הלסת, וכן הערכה של מצב רפואי כללי והרגלים המשפיעים על הצלחת הטיפול.
5. כמה זמן נמשך תהליך שיקום הפה?
משך הזמן משתנה בהתאם למורכבות המקרה. מדובר לרוב בתהליך הנמשך מספר חודשים וכולל שלבים שונים, כגון טיפולים מקדימים, השתלות, תקופת החלמה ושיקום סופי.
6. האם שיקום פה כרוך בכאב?
רוב השלבים מבוצעים בגישה שמטרתה להפחית כאב ואי נוחות ככל האפשר. תחושת רגישות זמנית עשויה להופיע לאחר חלק מהטיפולים, אך היא ניתנת לשליטה באמצעים פשוטים.
7. האם ניתן לבצע שיקום גם כאשר יש מחלת חניכיים?
כן, אך נדרש תחילה טיפול וייצוב מצב החניכיים. שיקום על גבי חניכיים דלקתיות ללא טיפול מקדים עלול לפגוע בהצלחת התהליך.
8. מהם שתלים דנטליים ולמה הם משמשים בשיקום פה?
שתלים הם תחליף לשורש השן ומשמשים כבסיס יציב לכתרים או לשיקום מלא של הלסת. הם מאפשרים החזרת תפקוד לעיסה קרוב לטבעי
9. מה ההבדל בין שיקום על שתלים לשיקום על שיניים טבעיות?
שיקום על שיניים טבעיות נשען על מבנים קיימים, בעוד שיקום על שתלים נשען על בסיס מלאכותי שהוחדר לעצם הלסת. הבחירה תלויה במצב השיניים ובריאות העצם.
10. האם שיקום הפה נראה טבעי?
כן. תכנון נכון, חומרים מתקדמים והתאמה אישית מאפשרים להגיע למראה טבעי המשתלב בפנים ואינו נראה מלאכותי.
11. האם שיקום הפה מחזיר יכולת לעיסה רגילה?
המטרה המרכזית היא לשקם תפקוד לעיסה יציב ויעיל. לאחר ההסתגלות, מרבית המטופלים חוזרים ללעוס באופן תקין וללא מגבלות.
12. האם מטופלים עם חרדה דנטלית יכולים לעבור שיקום?
כן. ההתאמה כוללת גם התייחסות רגשית, קצב עבודה מותאם ושיטות להפחתת חשש, לרבות הסבר מפורט וליווי לאורך התהליך.
13. האם השיקום נשמר לכל החיים?
אורך חיי השיקום תלוי בשמירה על היגיינה אוראלית, מעקב רפואי ותחזוקה שוטפת. שיקום איכותי ומתוחזק היטב יכול להחזיק שנים רבות.
14. מה כולל שלב התחזוקה לאחר השיקום?
בדיקות תקופתיות, ניקוי מקצועי, מעקב אחר יציבות השיקום, טיפול בחניכיים וחיזוק השיניים במידת הצורך.
15. מהו חיזוק אמייל ולמה הוא חשוב לאחר שיקום?
מדובר בטיפול המחזק את שכבת ההגנה של השן, מפחית רגישות ומגן מפני שחיקה ועששת משנית.
16. האם שיקום הפה משפיע גם על הדיבור?
כן. שיניים חסרות או שחוקות עלולות להשפיע על היגוי. שיקום מתאים משפר לרוב את איכות הדיבור.
17. האם ניתן לשלב שיקום אסתטי בתוך תהליך שיקום רפואי?
בהחלט. האסתטיקה היא חלק בלתי נפרד מהשיקום ומשולבת בתכנון הכולל של השיניים והחיוך.
18. האם כל שיקום כולל עקירות?
לא בהכרח. מטרת התהליך היא לשמר עד כמה שניתן שיניים תקינות. עקירה מתבצעת רק כאשר אין ברירה רפואית.
19. מתי ניתן לחזור לשגרה לאחר שיקום הפה?
ברוב המקרים ניתן לחזור לשגרה הדרגתית זמן קצר לאחר כל שלב טיפולי, תוך הקפדה על הנחיות הרופא.
20. למה חשוב לבצע שיקום אצל רופא עם ניסיון בתחום?
שיקום דורש ראייה מערכתית, יכולת לקבל החלטות מורכבות והתמודדות עם מצבים בלתי צפויים. ניסיון מצטבר תורם לאיכות התוצאה וליציבותה לאורך זמן.